本文来自微信公众号:nextquestion(ID:gh_2414d982daee),作者:Jiahui,编辑:EY,题图来自:视觉中国
十年前的一个夜晚,失眠的你带上耳机打算搜索些无聊的视频或音乐来助眠。视频网站推送了一个奇奇怪怪的人,他正对着话筒轻轻刮着手上的木制道具。你看了几分钟,生气地关了,觉得标题上的助眠标签欺骗了你。
一不小心,你可能错过了在未来十年,霸占国外视频网站搜索前三的视频分类——ASMR。
有些人可能一头雾水,表示从来没有听说过ASMR,而有些人可能会心一笑,心想:“这感觉我知道!”
只可意会的感觉:什么是ASMR?
ASMR的全称为Auditory Sensory Meridian Response,中文为自发性知觉神经反应。值得注意的是,它并不是一个医学术语,而是一个用于描述感知现象的新词。ASMR由特定的听觉或视觉刺激所触发,使人在颅内、头皮、背部或身体其他范围内产生一种独特的、令人愉悦的酥麻感觉。
简单来说,ASMR是通过一些触发器(trigger)而引起的舒缓感受。近十年来,这奇特的“酥麻”体感让无数“up主”钻研各种触发器,也让ASMR视频从小众文化跃升到国外的视频网站“霸主”。受人欢迎的触发器包括物体发出的声音,如轻敲、划拉、切割、摩挲特定物体;人声,诸如轻柔的耳语,缓慢平和的低语;组合场景,将各种ASMR触发器结合起来,例如模拟剪发的全过程。2017年的一项研究显示,音调偏低、声音复杂以及节奏缓慢,注重细节的视频对ASMR触发尤其有效。
这些年,ASMR视频已经发展得十分专业,许多ASMRtist(ASMR表演者)会使用双耳麦克风和高科技视听设备进行录制,一些ASMRtist使用3D虚拟现实创建360度的ASMR体验,其他还有通过Skype进行个性化ASMR,甚至还建立了ASMR主题的SPA会所。
图片来源:CATHRYN VIRGINIA/WIRED
为什么失眠的人对ASMR趋之若鹜?
ASMR从创立之初以解压,引导身体放松等效果迅速吸引了无数人的目光。2015年,研究人员在体验过ASMR的人群中展开了第一个探索性调查,结果显示98%的人认为ASMR视频能让他们的身体放松;82%的人观看ASMR视频是为了助眠,同时约70%的人是为了解压;80%的人报告ASMR视频对他们的情绪有正向积极的作用,这项调查给坊间传闻的ASMR“神效”提供了第一个记录在案的科学证据,也将ASMR正式带入了科学研究领域。
不过大部分ASMR研究都是基于自述,因此对于ASMR助眠的效果无法给出确切的生理学证据。科学家普遍认为ASMR视频可能通过触发神经递质,例如诱导睡眠的5-羟色胺和增加对疼痛的耐受性的内啡肽,来提供某种类型的镇静,缓解压力的效果。
此外,ASMR产生的大脑“酥麻”感(brain tingle)也是让失眠者或是需要释放压力的人趋之若鹜,很多人将这种感觉形容为“颅内高潮”。那么这种感觉到底是什么?它又因何而来?
科学家首先认为ASMR可能与由好的音乐或其他美学体验时所引起的脊背发麻,全身“起鸡皮疙瘩”的感觉相似。由美学刺激的“震颤”,其背后的生理学在过往被广泛研究,这种感觉通常与心跳加快,呼吸频率和深度的增加以及皮肤电导反应的增加相关联。然而在2018年,一项对ASMR生理学的研究否认了ASMR与“美学震颤”完全一致的假说,该研究证实了在观看ASRM视频时,体验ASMR的人心跳频率降低,尽管他们的皮肤电导反应同样增加了,研究结果提示了ASMR很有可能与“美学震颤”拥有不同的心理架构和生化基础。
认知科学家还将ASMR与联觉(synaesthesia)相关联。联觉又称为通感,通常指一种感觉或认知途径的刺激,导致第二种感觉或认知途径的不自觉的经历。
画家康定斯基被认为具有联觉能力,图为其代表性作品《Yellow Red Blue》。
图片来源:Vassily Kandinsky
ASMR通常与听觉-触觉联觉以及触觉-情绪联觉相比较,例如当听到某个特定单词时,身体的某个特定部分便会感到被触碰一样(该形式较为罕见),或是某些触感的物件会引起一些特定的情绪。与之类似,ASMR的触发器(联觉中的诱导物)通常会引发头皮发麻的感觉,伴随着放松的情绪(联觉中的并发产物),这样的过程也是不自觉地发生的。
然而,ASMR与联觉有一点不同,各种不同的ASMR触发器会在许多不同的人中引起相同的感觉,而在联觉通感中,不同的触发因素会引起不同的反应。此外,最近的一项研究显示,很多有ASMR体验的人可以根据自己意愿加深自己的ASMR体验(尽管他们无法控制ASMR的发生),而这也是联觉无法完全解释ASMR的原因之一。
由于ASMR近年才引起心理学、生理学等学科的注意,对于它为何能让很多人释放压力,摆脱失眠,我们还无法给出确实的证据。不过随着脑科学的介入,或许我们能离真相更近一步。
ASMR与脑科学
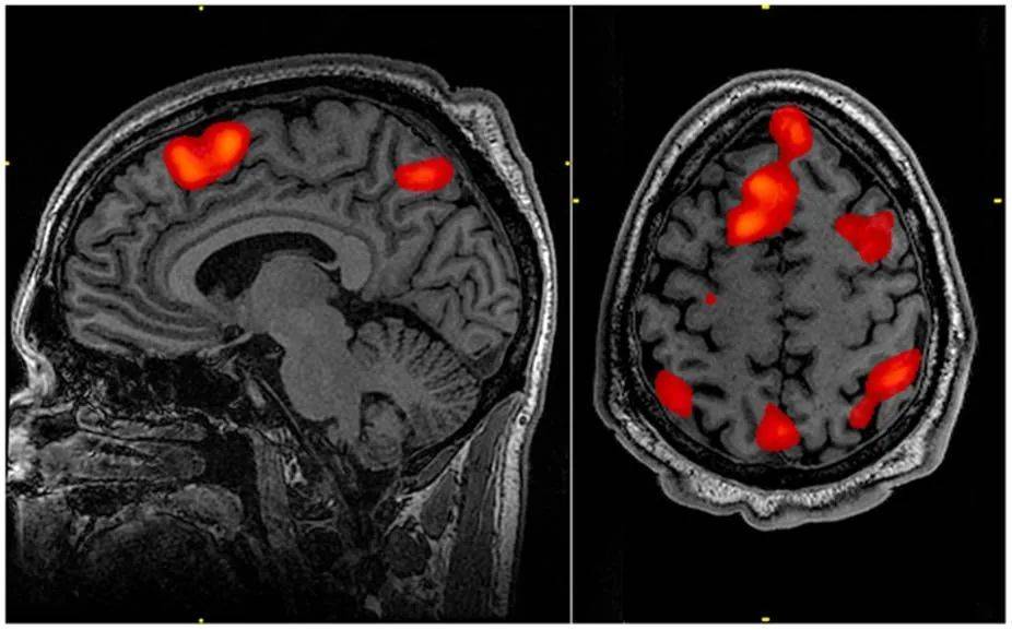
目前,ASMR领域仅有少数几个脑成像研究,其中一项研究应用功能性磁共振成像(fMRI)技术监测局部脑活动,实时检测观看ASMR视频的受试者在感受到ASMR过程中,大脑发生了什么变化。
功能性磁共振成像扫描图
图片来源:John Graner/wikipedia
视频内容包括了目前受欢迎程度较高的几类:轻拍声、耳语、沙沙声、重复任务等。观看过程中,受试者需要按三个按钮:处于正常状态就按“基线”按钮;处于放松愉悦的状态就按“放松”按钮;感受到ASMR带来的身体酥麻感就按“酥麻”(tingle)按钮。
结果显示,当受试者按了“放松”按钮时,除了听觉视觉皮层被激活,内侧前额叶皮质(mPFC)也被激活了——mPFC与自我意识,社交认知以及社交行为相关联,这说明ASMR视频可以像实际的社交活动一样激活大脑。有趣的是,当受试者按了“酥麻”按钮时,大脑中负责奖赏以及情绪唤起的脑区被激活了,包括伏隔核(NAcc)、背侧前扣带皮层(dACC)和岛叶与下额回之间的双侧区域(insula / IFG),简单来说,当你体验ASMR觉得头皮有酥酥麻麻的感觉时,大脑也感受到了快乐。
以神经科学的角度探索ASMR
上述的脑成像结果让我们可以对ASMR相关的神经科学展开进一步的探讨。
ASMR与共情
dACC、岛叶以及辅助运动区域的大脑网络被认为与共情(empathy)相关联,在感受到ASMR带来的酥麻感时,这些区域的激活说明ASMR可能与社会认知以及对他人关怀有关联。之前的调查显示,与ASMR绝缘的人相比,体验过ASMR的人在共情能力上的得分要高一些,这也说明ASMR与人格特质和精神健康存在关联。
然而目前几乎没有研究分析ASMR与个人特质,社会认知以及精神健康的关系,只有一项研究显示,有ASMR反应的人似乎在“经验开发性”(openness-to-experience,包括活跃的想象力、审美感受性、对内心感受的专注性,对种类的偏好,以及对知识的好奇心)的特质上得分更高。未来对于ASMR与共情的深入研究或许可以揭开ASMR产生的机制,以及为何它在部分人群中有神奇的“精神治愈”能力。
ASMR与亲善行为
脑成像的研究结果让科学家将目光放在了ASMR与亲善行为(affiliative behavior)的关联上,亲善行为通常发生在父母与子女,伴侣或朋友之间,这些行为涉及密切的人际关系,可能包括修饰行为以及各种给予或接收照顾的行为,而ASMR视频中,表演者给予观众的关注或是专注细节等行为或许与亲善行为不谋而合。
亲善行为的神经机制包括了mPFC,NACC以及岛叶等脑区的明显活动水平,这与研究中感受到ASMR时的脑区活动水平相类似。过往研究显示负责亲善行为的神经激素包括多巴胺,催产素和内啡肽,这些神经激素可引起舒适,放松和困倦的感觉。ASMR或许通过激发同样的脑区并释放与亲善行为相关的神经化学物质,从而让身体放松,释放压力并助眠。
ASMR与镜像神经元
镜像神经元在观看他人的动作或任务时会激活,并会模仿所看到的动作,最初是在灵长类动物和鸟身上发现。比如给猴子喂食时,它的大脑内的部分神经元会被激活,而当没有食物的时候,仅仅做出喂食的动作时,猴子大脑内同样的神经元还是会被激活。
镜像神经元的研究历史和现在ASMR在科研界的待遇颇有“难兄难弟”的感觉。已有的研究在前运动皮质、运动辅助区、第一躯体感觉皮质、顶叶下皮质等中找到镜像神经元,然而目前还无法盖棺定论镜像神经元在人类大脑中是否存在。神经科学家认为镜像神经元可能与模仿、学习、语言等认知功能相关,也有科学家认为它是共情的神经基础,不过这些说法都未被广泛认可。
ASMR包含了对所看到的行为进行感知的过程,如果ASMR是一种对观察性学习的反馈,那么在ASMR过程中,镜像神经元系统应该会被激活,比如当你认为视频中表演者的动作非常温柔平和,你会不自觉地模拟视频中令人放松的情绪,从而释放压力和帮助睡眠。不过遗憾的是,唯一一项提及ASMR和镜像神经元的脑成像研究并未证实镜像神经元会在ASMR过程中被激活,更多的研究需要将这片空白填满。
ASMR——“猎奇”文化的科研之路
从2009年第一个ASMR视频出现在社交媒体以来,“小众文化”、“奇怪癖好”、“伪科学”等消极标签一直将ASMR排除在科研的殿堂之外。或许对于ASMR绝缘的人来说,这是他们无法理解的世界。然而在每个精心制作的ASMR视频下,数以万计的失眠者、有抑郁,焦虑等情绪的人留下了他们对ASMR“治愈”能力的感谢。
从否定ASMR的存在,到人群调查的开始,ASMR的科研之路就像科学家对于联觉的探索一样,在质疑中慢慢发展起来。无论是轶事报道还是现有的横断面调查都表明,ASMR可能对于助眠、减压、缓解负面情绪都很有帮助。未来,研究人员需要建立对ASMR的心理、生理和神经学基础的认识,以证明在感受过ASMR的人身上,这是一种可以解释且可靠的现象。一旦将ASMR确定为科学的研究对象,那么未来就能深入地了解ASMR潜在的治疗效果,如助眠,释放压力以及缓解焦虑情绪。
参考文献:
1. Lochte, Bryson C., et al. "An fMRI investigation of the neural correlates underlying the autonomous sensory meridian response (ASMR)."
2.Poerio, Giulia Lara, et al. "More than a feeling: Autonomous sensory meridian response (ASMR) is characterized by reliable changes in affect and physiology."
3.Callard, Felicity, Kimberley Staines, and James Wilkes. "The restless compendium: Interdisciplinary investigations of rest and its opposites."
本文来自微信公众号:nextquestion(ID:gh_2414d982daee),作者:Jiahui,编辑:EY
原创文章,作者:Maggie-Hunter,如若转载,请注明出处:https://blog.ytso.com/industrynews/232317.html



